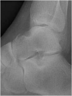
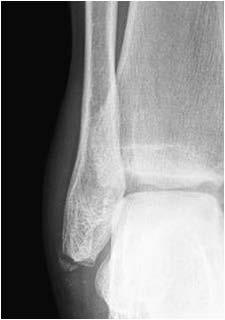
You have had a simple soft tissue injury to your ankle/foot, as part of this you may also have a chipped bone.
These injuries/fractures generally heal in a few weeks without any problems. Therefore routine Fracture Clinic follow-up is not usually necessary.
The pain, tenderness and swelling you are experiencing in the foot should gradually settle over the next few weeks.
You may find walking on the foot painful, it is advisable to get it elevated.
You may be provided with a support for the foot in the form of bandaging or a removable boot. Most people manage with sturdy footwear. If required, you will be provided with crutches.
Walk on the foot as much as pain allows, and if you have been given a boot, you should gradually discard it over 3-5 weeks as the pain settles.
Most injuries heal without any problems. However it may take several months for your symptoms to settle completely
If you are still experiencing significant symptoms after eight weeks, please contact Borders General Hospital (see address at the top of leaflet)
Please start the exercises provided to you when the pain allows.



After discharge from hospital
Should you have any worries or concerns following discharge from hospital, please contact the switchboard at Borders General Hospital.
tel: 01896 623000- ask the operator to bleep 6009
- this is the doctor on call who will attend to your call as soon as possible